

Is Gum Bleaching Right for You? Pros, Cons, and What to Expect
Achieving a bright, confident smile goes beyond pearly white teeth. In recent years, gum bleaching, also known as gum depigmentation, has become a popular cosmetic dentistry procedure to address dark or uneven gum tones. But is gum bleaching right for you? Let’s delve into the pros, cons, and what to expect from this treatment at Dental World Manila.
Understanding Gum Pigmentation
Not everyone has naturally pink gums. Gum pigmentation can vary depending on melanin production, similar to how it affects skin tone. Melanin-induced pigmentation is the most common cause, resulting in a naturally darker gum color. However, other factors can contribute to discoloration, including:
- Medications: Certain medications, such as antipsychotics and some anti-malarial drugs, can cause gum pigmentation as a side effect.
- Smoking: Smoking and tobacco use can stain the gums, leading to a dark appearance. Continued tobacco use after gum bleaching can significantly hinder desired results and lead to faster recurrence of discoloration.
- Gum Inflammation: Chronic gum inflammation, a condition known as gingivitis, can cause the gums to appear red and inflamed. Addressing gingivitis through proper oral hygiene and professional dental cleanings is crucial before considering gum bleaching for aesthetic purposes.
Pros of Gum Bleaching
The primary benefit of gum bleaching is achieving a more even and aesthetically pleasing gum tone. This can significantly enhance the overall appearance of your smile, boosting self-confidence. Here’s a closer look at some potential advantages:
- Improved Smile Aesthetics: Bleaching can address uneven pigmentation, dark gums after gum grafting procedures, or mild cases of gum hypertrophy (enlarged gums) that contribute to a gummy smile.
- Enhanced Self-Confidence: A brighter, more even smile can boost confidence when smiling or laughing in social situations.
- Potential Psychological Benefits: Studies suggest a correlation between a confident smile and improved mental well-being.
What to Consider Before Gum Bleaching
While gum bleaching offers numerous benefits, it’s important to have a realistic understanding of the process and individual factors that can influence the results. Here are some key considerations for a successful gum bleaching experience at Dental World Manila:
- Temporary Results: The effects of gum bleaching are not permanent. Depending on the severity of pigmentation and your individual factors, touch-up procedures may be needed every few months to maintain the desired gum tone.
- Potential Side Effects: Some people may experience temporary side effects like gum sensitivity, mild irritation, or uneven lightening. These effects typically subside within a few days. Dental World Manila will discuss these potential side effects with you during the consultation and provide aftercare instructions to minimize any discomfort.
- Long-Term Effects: While gum bleaching appears to be safe in the short term, long-term effects require further research. Dental World Manila’s experienced dentists will discuss these considerations and answer any questions you may have about the long-term implications of gum bleaching.
- Smoking Cessation: Smoking significantly hinders the effectiveness of gum bleaching and can lead to faster recurrence of discoloration. If you’re considering gum bleaching, quitting smoking is highly recommended for optimal and long-lasting results.
Who is a Good Candidate for Gum Bleaching?
Ideal candidates for gum bleaching have healthy gums and realistic expectations about the outcome. Here are some key factors to consider:
- Healthy Gums: If you have any underlying gum concerns like gingivitis or periodontitis, Dental World Manila will likely recommend addressing those issues before proceeding with gum bleaching. Healthy gums provide a stable base for the treatment and ensure optimal results.
- Realistic Expectations: It’s important to understand that gum bleaching cannot lighten gums to an unnatural shade of pink. The goal is to achieve a more even and natural-looking gum tone that complements your overall smile. Dental World Manila will discuss your desired outcome during the consultation and recommend the most suitable approach.
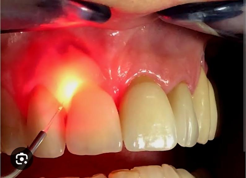
What to Expect During Gum Bleaching at Dental World Manila
The specific gum bleaching procedure you undergo will depend on the recommendation of our dentists after evaluating your individual needs and the severity of pigmentation. Here’s an overview of two common techniques:
- Laser Gum Bleaching: This method uses a concentrated beam of light to target pigmented areas. Laser treatment offers precise control and minimal discomfort, but it might be more expensive compared to other methods.
- Chemical Peels: This technique involves applying a solution to the gums to lighten the pigmentation. Chemical peels are generally less expensive than laser treatment, but there’s a slightly higher risk of uneven lightening.
The treatment process itself is typically short and relatively comfortable, often lasting less than an hour. Depending on the chosen method, multiple sessions may be required to achieve the desired results.
Post-Treatment Care
Following your gum bleaching procedure, proper aftercare is essential to maintain the results and promote optimal healing. Here’s what you can expect:
- Sensitivity: You may experience temporary gum sensitivity, especially to cold foods and drinks. DWM will recommend using a toothpaste formulated for sensitive teeth and avoiding excessively hot or cold beverages for the first few days.
- Discomfort: Mild discomfort or irritation is also possible. Over-the-counter pain relievers can help manage any discomfort. Applying a cold compress to the outside of your jaw can also provide relief.
- Dietary Restrictions: For the first 24-48 hours after treatment, dentists may recommend a soft diet to minimize irritation. This might include yogurt, applesauce, and mashed potatoes. Gradually reintroduce solid foods as your gums heal.
- Oral Hygiene: Maintaining excellent oral hygiene is crucial. Brush your teeth gently twice a day and floss daily as instructed by your dentist. Avoid using harsh brushing techniques or abrasive toothpaste.
- Smoking Abstinence: As mentioned earlier, smoking significantly hinders the longevity of gum bleaching results. Dental World Manila will strongly advise you to avoid smoking or tobacco use altogether for optimal and long-lasting results.







