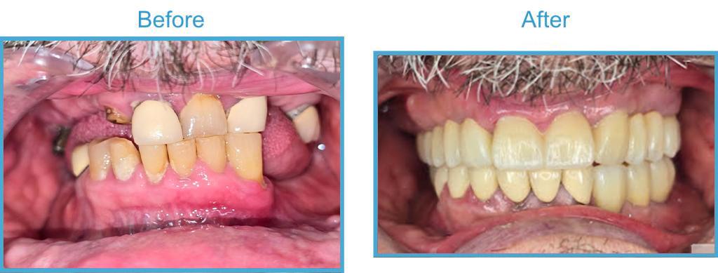
No need to scrimp on your smile. If you are the unhappy with the way you forge those winsome curves in flashing those pearly whites because of a dental condition, there’s always a reason to smile. We at Dental World Manila provides everyone with the right reasons to celebrate life by crafting that smile that will light up your world.
Porcelain Veneers

Porcelain Crowns



Dental Implant





Zirconia Crowns

Cosmetic Gum Surgery and Composite Veneers

Gum Bleaching









